Smile Gallery in Houston Heights
View Our Smile Gallery
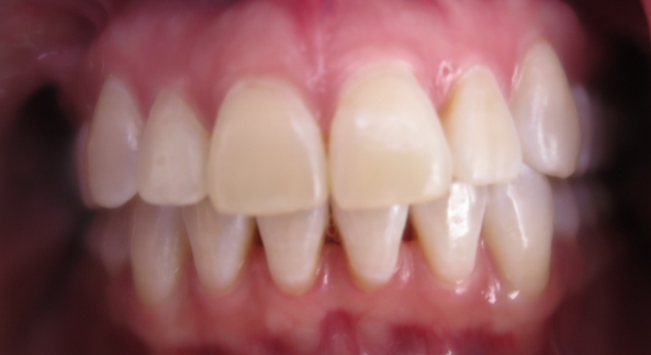
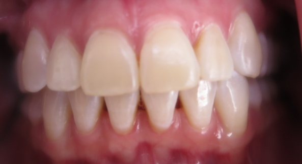
At Sunrise Dental Center, we take pride in helping patients achieve confident, beautiful smiles. Our smile gallery showcases real results from patients in the surrounding communities who have trusted us with their care. Using advanced dental technology and a personalized approach, our team is dedicated to creating natural-looking, long-lasting outcomes. Take a look through our transformations and see the difference that our compassionate, high-quality dentistry in Houston Heights can make.
I Need a Dentist for My Child I am Concerned About Bleeding Gums I Have a Cavity or Broken Tooth I am Missing One or More Teeth I Want to Enhance My Smile I Want a Straighter Smile I am Scared of the Dentist I am in Pain & Need Help I Need Oral & Maxillofacial Surgery View Our Services
Before
After
Before
After
Before
After
Before
After
